신생아가 태어난 직후
의사에게서 “아기 폐가 접혔어요”, “폐가 덜 폈어요”라는 말을 들으면
부모 입장에서는 큰 불안감을 느낄 수밖에 없습니다.
폐가 접혔다는 말이 정확히 어떤 상태를 의미하는지,
그리고 아이의 성장이나 평생 건강에 영향을 주는 문제인지
이 글에서 차분하게 정리해 보겠습니다.
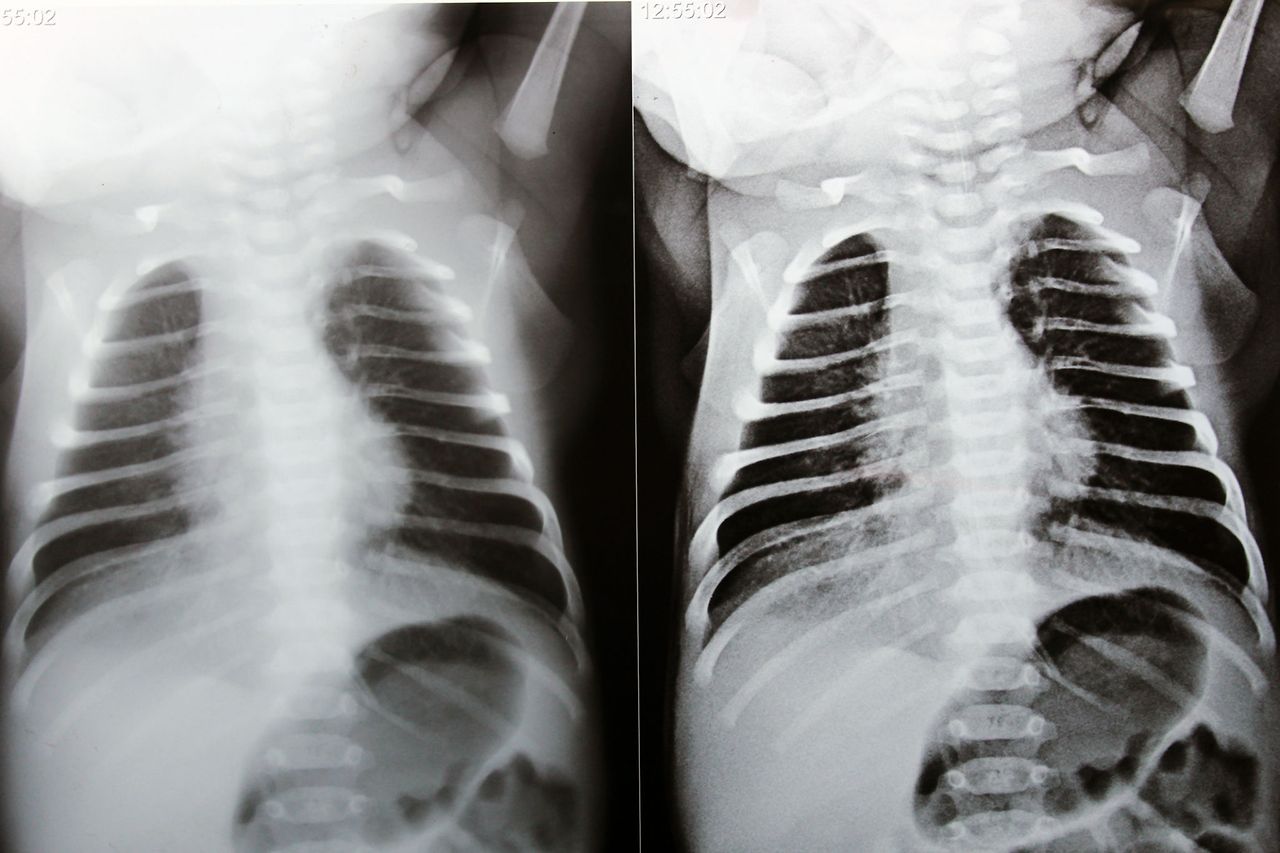
신생아에게서 말하는 “폐가 접혔다”는 표현의 의미
먼저 중요한 점은, ‘폐가 접혔다’는 말은 의학적인 진단명이 아니라는 것입니다.
의료진이 보호자에게 상황을 쉽게 설명하기 위해 사용하는 표현으로,
대부분 아래 두 가지 상태 중 하나를 의미합니다.
① 신생아 기흉 (Pneumothorax)


어떤 상태인가요?
폐 안에 있어야 할 공기가 바깥으로 새어나가
폐와 흉벽 사이 공간에 공기가 차면서
폐가 바깥에서 눌려 접힌 상태를 말합니다.
왜 발생하나요?
- 출생 직후 첫 호흡 과정에서 폐 압력이 급격히 증가한 경우
- 자연분만, 흡입분만 후 강한 울음
- 인공호흡기 치료 중 발생
위험한 상태인가요?
- 경미한 기흉은 산소 치료만으로도 자연 흡수
- 중등도 이상일 경우 공기 배출 치료 시행
- 대부분 치료 후 정상 폐 상태로 회복
② 신생아 무기폐 (Atelectasis)


어떤 상태인가요?
폐포 안에 공기가 충분히 차지 않아
일부 폐가 제대로 펴지지 못한 상태를 의미합니다.
왜 생길까요?
- 출생 직후 호흡 적응이 아직 미숙한 경우
- 양수나 태변 흡입
- 미숙아, 호흡기 질환 동반 시
위험한가요?
- 대부분 일시적인 현상
- 호흡이 안정되면서 자연스럽게 폐가 팽창
- 후유증 없이 회복되는 경우가 대부분
소로나 라운드 반팔티 : 나인앤나인
[나인앤나인] 티셔츠 전문,등산복,작업복,스포츠웨어,단체복 전문 셀러 입니다.
smartstore.naver.com
부모들이 가장 많이 걱정하는 부분
폐가 접혔으면 폐가 약한 건가요?
그렇지 않습니다.
폐 자체가 약하다기보다 출생 직후 환경 변화에 적응하는 과정에서 일시적으로 나타난 현상인 경우가 대부분입니다.
커서도 문제가 생길 수 있나요?
적절한 치료와 관찰을 받았다면
성장 후 폐 기능, 운동 능력, 일상생활에 영향을 주는 경우는 매우 드뭅니다.
추적 관찰이 필요한 경우
아래에 해당한다면 소아과 또는 소아호흡기과에서
정기적인 관찰이 필요할 수 있습니다.
- 미숙아 출생
- 장기간 인공호흡기 치료
- 반복적인 기흉 발생
- 폐렴이나 패혈증이 동반된 경우
다만 이러한 경우에도 성장하면서 호전되는 사례가 대부분입니다.
집에서 부모가 살펴보면 좋은 증상
다음 증상이 반복되거나 지속된다면 소아과 진료를 권장합니다.
- 감기 때마다 숨이 차고 회복이 느린 경우
- 쌕쌕거리는 숨소리가 자주 들리는 경우
- 폐렴이 반복되는 경우
단, 일시적인 증상만으로 과거 폐 문제를 후유증으로 단정할 필요는 없습니다.
핵심 정리
- “폐가 접혔다”는 표현은 신생아 기흉 또는 무기폐를 쉽게 설명한 말
- 대부분 출생 직후 일시적으로 발생
- 치료 후 정상 폐 기능으로 회복되는 경우가 대다수
- 성장과 발달에 장기적인 영향을 주는 경우는 매우 드묾
- 과도한 걱정보다는 정기 검진과 경과 관찰이 중요
'건강' 카테고리의 다른 글
| 감기 원인과 증상, 치료 및 예방법 총정리, 면역력 높이는 생활습관 (14) | 2025.10.11 |
|---|---|
| 통풍 원인과 증상, 치료 및 관리법 총정리, 요산 수치 낮추는 방법 (31) | 2025.10.10 |
| 면역력을 높이는 음식 BEST 10 (47) | 2025.09.26 |
| 수면의 질을 높이는 과학적 방법 (51) | 2025.09.25 |
| 혈당 조절에 좋은 음식 BEST 10 (51) | 2025.09.24 |